Интересуетесь, как современная лучевая терапия помогает в лечении доброкачественных опухолей? Сегодня мы расскажем о возможностях этого метода и его преимуществах.
Доброкачественные опухоли — это образования, которые развиваются из нормальных тканей, не прорастают в окружающие структуры и не распространяются по организму. К таким опухолям относятся гемангиомы, менингиомы, шванномы и т.д. Несмотря на их доброкачественный характер, при определённых условиях они могут вызывать симптомы, сдавливать соседние органы или ткани, а также иметь тенденцию к росту. Поэтому в некоторых случаях лучевая терапия является эффективным и щадящим методом лечения, особенно при невозможности хирургического вмешательства или при рецидивах после операции.


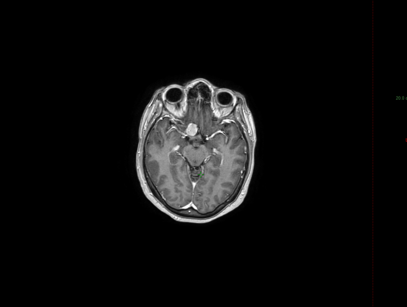
Клинический случай:
Пациентка А., 45 лет, обратилась в нашу организацию с диагнозом «Менингиомы бугорка турецкого седла справа» – опухоли, которая располагается в области перекреста зрительных нервов. Эта локализация представляет особую сложность из-за близости к зрительным путям и высокого риска потери зрения при неправильном подходе к лечению.
Благодаря использованию современного оборудования — линейного ускорителя Varian TrueBeam — и грамотному оконтуриванию мишени облучения, нам удалось разработать индивидуальный план лучевой терапии. Для обеспечения высокой точности лечения применяется жесткая фиксация специальными термопластическими масками, которые изготавливаются индивидуально под каждого пациента. Это позволяет исключить любые смещения во время процедуры. Лечение является безболезненным для пациента, что значительно повышает комфорт и качество проведения процедуры. Точное планирование позволяет минимизировать воздействие на окружающие органы риска, сохраняя функцию зрения. Ежедневный контроль положения мишени с помощью высокоточной системы навигации обеспечивает доставку дозы точно в цель, что повышает эффективность и безопасность процедуры.
Этот случай не единственный, с которым приходилось сталкиваться в нашем центре. Лечение доброкачественных новообразований — скорее рутина, чем исключительный случай. Главное — не игнорировать симптомы и вовремя обращаться за медицинской помощью, чтобы лечение было максимально эффективным.


