Один из вариантов современных режимов лучевой терапии-СТЛТ ( стереотаксическая лучевая терапия ) – это высокоточная лучевая терапия, при которой используется лучевое воздействие одной или несколькими фракциями (до 10) с высокой разовой очаговой дозой излучения, проводится на современных линейных ускорителях (Halcyon , TrueBeam).
Соответственно, сроки лечения пациента ( амбулаторные или стационарные) с помощью такого метода лечения существенно уменьшаются, что является неоспоримым плюсом для самого пациента, освобождая его время для других сфер.

Данный вид лечения применяется при лечении первичных опухолей ЦНС (злокачественных ,доброкачественных) , опухолей легких, печени , поджелудочной железы, метастатического поражения данных органов, а также метастазов в кости, в лимфоузлы различных уровней.
В РО№3 БУЗ ВО «ВОНКОЦ», в частности, успешно пролечена пациентка Х. с диагнозом ЗНО левой молочной железы ст 2А Т2N0M0,после оперативного лечения в 2019г ,гормонотерапии антиэстрогенами; с 2025г –прогрессирование ,МТС в кости черепа.
Направлена на лучевую терапию в РО№3 ВОНКОЦ – на мтс в кости черепа(№3).
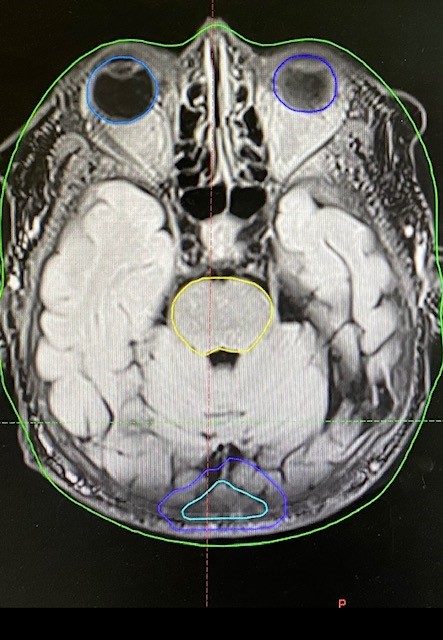
После проведения МРТ-топометрии и определения мишеней с врачом МРТ-кабинета, пациентке по согласованию с Зав.РО№3 и консилиумом радиотерапевтов экспертной группы было решено выполнить лучевое лечение, с учетом небольших размеров мтс, в режиме СТЛТ на пораженные участки костей черепа в правой и левой лобной области, а также ложе мтс кости затылочной области(после опер. лечения).
Данное лечение заняло 5 койко-дней, составляло 3 фракции с РОД8Гр, СОД24Гр .


Неприятных ощущений в процессе сеансов и после лечения пациентка не отмечала. Выписана в удовлетворительном состоянии .
Таким образом технологические возможности современных линейных ускорителей, находящихся на обновленной базе БУЗ ВО «ВОНКОЦ» на ул. Электросигнальная, д.13/2, а также высокая квалификация сотрудников онкоцентра, делает такой метод лучевого лечениякак СТЛТ – еще 10 лет назад применяемый лишь в Федеральных Центрах – доступным и рутинным в настоящее время для лечения жителей нашего региона, и при обращении – соседних регионов, новых регионов.

