Высокомощностная брахитерапия (HDR-брахитерапия) – это современный метод лучевой терапии, при котором источник излучения высокой мощности дозы (свыше 12Гр в час) временно вводится непосредственно в опухоль или рядом с ней. Методика обеспечивает точечное воздействие за короткое время, максимально сохраняя окружающие здоровые ткани и органы риск.
В радиотерапевтическом отделении №5 БУЗ ВО «Воронежского областного научно-клинического онкологического центра» брахитерапия проводится на двух современных гамма-терапевтических аппаратах высокой мощности дозы GammaMed Plus IX с источником иридий 192. Наличие в арсенале радиотерапевтического отделения №5 широкого спектра аппликаторов позволяет проводить лечение большого количества локализаций.
Уникальные возможности брахитерапии
Высокомощностная брахитерапия (HDR-брахитерапия) – это современный метод лучевой терапии, при котором источник излучения высокой мощности дозы (свыше 12Гр в час) временно вводится непосредственно в опухоль или рядом с ней. Методика обеспечивает точечное воздействие за короткое время, максимально сохраняя окружающие здоровые ткани и органы риска.
В радиотерапевтическом отделении №5 БУЗ ВО «Воронежского областного научно-клинического онкологического центра» брахитерапия проводится на двух современных гамма-терапевтических аппаратах высокой мощности дозы GammaMed Plus IX с источником иридий 192. Наличие в арсенале радиотерапевтического отделения №5 широкого спектра аппликаторов позволяет проводить лечение большого количества локализаций.
Брахитерапия (HDR) в БУЗ ВО «ВОНКОЦ» является основой радикального лечения местнораспространенного рака шейки матки, вульвы и влагалища, важным компонентом адъювантной терапии рака тела матки, используется для лечения рака предстательной железы, молочной железы, полового члена, применяется при лечении опухолей пищевода, как часть радикального лечения или в паллиативном режиме, используется при лечении сарком мягких тканей и кожи, а также применяется при лечении рецидивов основного заболевания.
Современная брахитерапия высокой мощности дозы (HDR) требует более сложных подходов к оконтуриванию, планированию и оптимизации планов облучения. 3D-брахитерапия под контролем изображений (КТ и/или МРТ) стала неотъемлемой частью лечения. 3D-навигация на основе изображений значительно изменила парадигму планирования брахитерапии, доказав свою способность улучшать локальный контроль и снижать токсичность.
Остановимся на двух случаях использования брахитерапии и ее уникальности, как метода.
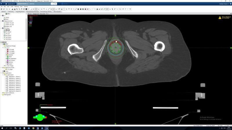
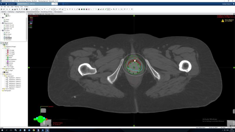
- Подавляющее большинство пациенток с гинекологическими заболеваниями получают внутриполостную брахитерапию (ICB), однако гибридная брахитерапия, включающая внутриполостную (ICB) и внутритканевую (ISB) компоненты, рекомендуется пациенткам, у которых применение ICB приводит к неоптимальному распределению дозы. ISB следует рассматривать у пациентов с обширным поражением параметрия, крупными первичными опухолями, а также при узком или дистальном поражении влагалища.
Данные исследований демонстрируют преимущество в локальном контроле у пациенток с крупными опухолями шейки матки, получающих гибридную ICB/ISB, по сравнению с применением только ICB.
Дозиметрическое планирование только ICB Дозиметрическое планирование ICB/ISB


- Еще одной уникальной возможностью брахитерапии является использование ее при лечении рецидивов заболевания или метастатических поражений. Использование многоканального аппликатора позволяет не использовать каналы, которые прилегают к органам риска, что дает возможность максимально снизить дозу на них и уменьшить вероятность побочных эффектов даже при повторном облучении данной области.
Использование всех доступных каналов Исключение каналов, прилегающих к прямой кишке


В радиотерапевтическом отделении №5, расположенного в новом радиотерапевтическом корпусе, БУЗ ВО “Воронежского областного научно-клинического онкологического центра” имеется весь спектр аппликаторов, необходимых для лечения онкологических заболеваний различных локализаций, при дозиметрическом планировании брахитерапии медицинскими физиками физико-радиологического отделения используются 3D- изображения, полученные с магниторезонансного томографа, компьютерного томографа, также используется совмещение КТ и МРТ изображений для более точного и качественного оконтуривания врачом-радиотерапевтом всех мишеней и органов риска, что позволяет доставить дозу к опухоли с высокой точностью и максимально снизить риски постлучевых осложнений. Командой, состоящей из врача-радиотерапевта, медицинского физика, медицинской сестры достигается успешное проведение процедур брахитерапии, повышая эффективность лечения онкологических заболеваний в нашем центре.
Современная брахитерапия высокой мощности дозы (HDR) требует более сложных подходов к оконтуриванию, планированию и оптимизации планов облучения. 3D-брахитерапия под контролем изображений (КТ и/или МРТ) стала неотъемлемой частью лечения. 3D-навигация на основе изображений значительно изменила парадигму планирования брахитерапии, доказав свою способность улучшать локальный контроль и снижать токсичность.
Остановимся на двух случаях использования брахитерапии и ее уникальности, как метода.
• Подавляющее большинство пациенток с гинекологическими заболеваниями получают внутриполостную брахитерапию (ICB), однако гибридная брахитерапия, включающая внутриполостную (ICB) и внутритканевую (ISB) компоненты, рекомендуется пациенткам, у которых применение ICB приводит к неоптимальному распределению дозы. ISB следует рассматривать у пациентов с обширным поражением параметрия, крупными первичными опухолями, а также при узком или дистальном поражении влагалища.
Данные исследований демонстрируют преимущество в локальном контроле у пациенток с крупными опухолями шейки матки, получающих гибридную ICB/ISB, по сравнению с применением только ICB.

