При проведении лучевой терапии опухолей печени особенно важна тщательная подготовка. От каждого этапа зависит не только эффективность лечения, но и его безопасность для пациента. Расскажем, как проходит предлучевая подготовка и почему каждый шаг имеет значение.
1. Томография — создание трёхмерной «карты» тела
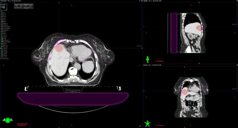
Всё начинается с проведения компьютерной томографии (КТ) на специальном симуляторе. Это не обычная диагностическая КТ, а гораздо более точное исследование.
· Зачем это нужно? Снимки, полученные во время КТ-топометрии, становятся основой для планирования лечения. Врачи-радиотерапевты и физики видят на них не только саму опухоль в печени, но и точное расположение всех окружающих здоровых органов: почек, кишечника, желудка, спинного мозга.
· Задача пациента: Лежать максимально неподвижно и спокойно, в точно такой же позе, как и во время последующих сеансов облучения. Для этого используются иммобилизирующие устройства, которые помогут зафиксировать положение.

2. Сложное планирование: искусство направить лучи точно в цель
После томографии начинается этап сложного планирования, который может занимать несколько дней.
· В чем сложность? Наша задача — подвести высокую дозу излучения к опухоли, максимально защитив здоровые ткани. Печень находится в окружении многих критических органов, которые очень чувствительны к облучению. · Как это происходит? Врачи и физики с помощью современной компьютерной программы Eclips создают индивидуальный план. Задача медицинского физика- рассчитать, под какими углами, в какой дозе и как именно должны подходить пучки излучения, чтобы максимально воздействовать на опухоль и минимизировать воздействие на здоровые ткани организма.
Это ювелирная работа, от которой зависит эффективность и безопасность терапии

3. Точность укладки — миллиметры решают всё
Каждый сеанс лучевой терапии начинается с точного повторения той позы, в которой вы проходили КТ-топометрии. Точность укладки — это критически важно.
· Малейшее смещение даже на несколько миллиметров может снизить эффективность облучения опухоли и увеличить риск воздействия на здоровые ткани.
· Перед каждым сеансом с помощью встроенной системы производится снимок положения тела и внутренних органов пациента в реальном времени и относительно него медперсонал проверяет и при необходимости корректирует положение пациента. Это стандартная процедура, которая обеспечивает вашу безопасность. Дополнительно, при лечении злокачественных новообразований печени в опухоль устанавливаются рентгеноконтрастные метки, которые помогают точнее определить очаг опухоли

4. Подвижная печень и скорость работы: почему это ключевой фактор?
Печень — не статичный орган. Она подвижна и может значительно смещается при любом воздействии на нее (например питание, во время курса лучевой терапии, или дыхание). Это создает дополнительную сложность для лучевой терапии.
· Если сеанс облучения затянут по времени, очаг может сместиться, и лучи будут попадать не совсем точно.
· Решение — короткое время облучения. Современные технологии позволяют рассчитать план таким образом, чтобы за короткое время отдать дозу на опухоль и максимально защитить здоровые ткани. Именно здесь на помощь приходит линейный ускоритель TrueBeam.
Благодаря своей высокой мощности и интеллектуальной системе управления, TrueBeam проводит облучение очень быстро — за считанные минуты. Это позволяет «поймать» опухоль в нужной фазе дыхания и точно воздействовать на нее, сводя к минимуму влияние ее естественной подвижности.

Каждый этап — от подготовки до сеанса — направлен на главное: максимально точное воздействие на опухоль и сохранение качества жизни пациента.
Таким образом, комбинация тщательного планирования, ювелирной точности укладки и скоростных возможностей аппарата TrueBeam позволяет нам проводить высокоэффективное и безопасное облучение злокачественных новообразований печени.

