Уважаемые пациенты и их родственники!
Рак почки — это злокачественная опухоль, которая развивается из клеток почечной ткани. Это заболевание занимает одно из ведущих мест среди онкологических болезней мочевыделительной системы. Важно знать о его признаках, причинах и мерах профилактики, чтобы своевременно обратиться за медицинской помощью.
Основные признаки рака почки:
- Необъяснимая потеря веса
- Боли в боку или пояснице
- Кровь в моче (гематурия)
- Увеличение почки или ощущение тяжести в животе
- Общая слабость и усталость
Причины развития рака почки:
- Курение
- Ожирение
- Гипертензия
- Хроническое воспаление почек
- Наследственные факторы
- Воздействие некоторых химических веществ
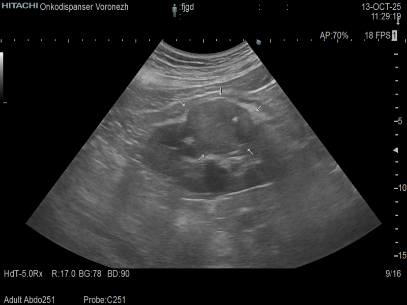
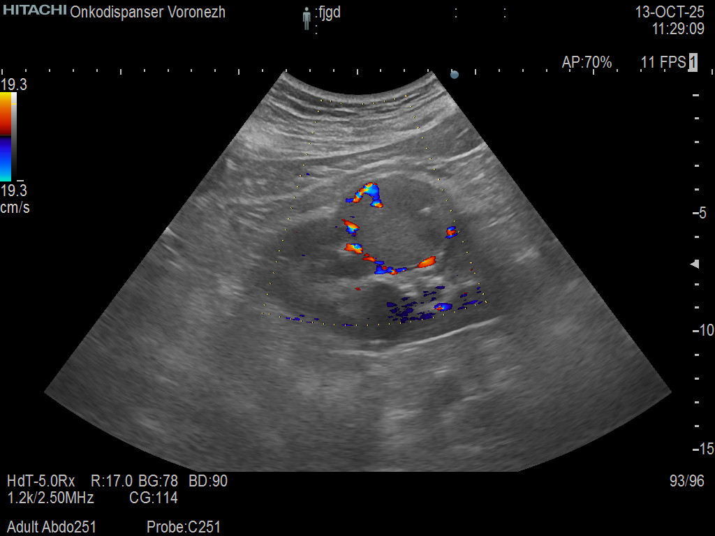
Диагностика:
- Ультразвуковое исследование
- Компьютерная томография (КТ)
- Магнитно-резонансная томография (МРТ)
- Биопсия почки (при необходимости)

Лечение:
Основными методами лечения являются хирургическое удаление опухоли или всей почки, а также лучевая и химиотерапия. Современные методы позволяют значительно повысить шансы на полное излечение при ранней диагностике.
Профилактика:
- Отказ от курения
- Контроль веса и правильное питание
- Регулярные медицинские осмотры
- Контроль артериального давления
- Избегание воздействия вредных веществ на рабочем месте
Заключение:
Рак почки — серьезная болезнь, но при ранней диагностике и своевременном лечении шансы на полное выздоровление высоки. Обратите внимание на свое здоровье, проходите регулярные осмотры и при появлении симптомов — не откладывайте визит к врачу.
Для получения дополнительной информации или консультации обращайтесь в наш медицинский центр.
Заботьтесь о своем здоровье!

