Паллиативная помощь — это важная часть комплексного подхода в лечении онкологических больных. Она предназначена для облегчения симптомов, поддержания функций организма и повышения качества жизни пациентов, у которых заболевание находится на позднем этапе или не подлежит полному излечению.
Но, даже в этом случае, пациент не остается без внимания и подлежит паллиативной лучевой терапии. Это современный и эффективный метод лечения, направленный на уменьшение боли, локальный контроль метастазов и снижение общей симптоматики. Статистика показывает, что примерно 40–50% онкологических пациентов нуждаются в паллиативной лучевой терапии в течение болезни. Особенно часто эта методика используется для лечения отдаленных метастазов: в головной мозг, внутренних органах и костях.
В нашем онкологическом центре паллиативная лучевая терапия реализуется на базе дневных и круглосуточных стационаров, в том числе в дневном стационаре радиотерапевтическом № 2.
Этот подход предполагает проведение коротких курса — от 1 до 10 процедур, что позволяет быстро и эффективно добиться терапевтического эффекта без тяжелых побочных реакций и длительной госпитализации. Благодаря современному оборудованию, а именно линейным ускорителям фирмы Varian: Halcyon и TrueBeam, проведение лучевой терапии обеспечивает максимальный комфорт для пациентов.
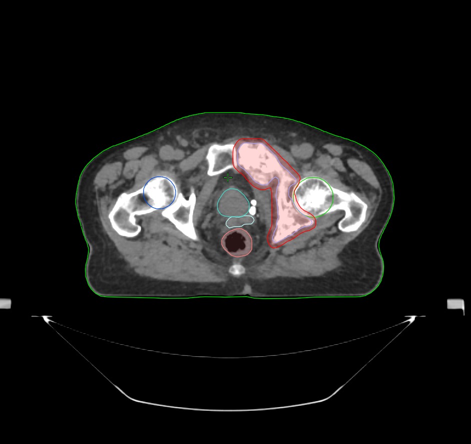
Особенность работы в дневном стационаре радиотерапевтическом № 2 — возможность применения методики стереотаксической лучевой терапии (СТЛТ/SBRT/SRS) на линейном ускорителе Varian Truebeam. Уникальность аппарата обусловлена особенностями его конфигурации: размером лепестков коллиматора. Они позволяют точно формировать пучок излучения, повышать точность за счет подведения максимальных доз излучения к опухолевым очагам, минимально затрагивая при этом здоровые ткани. Такой подход значительно повышает эффективность лечения и снижает риск осложнений.

